엔비디아 캠브리지-1 슈퍼컴퓨터로 의료분야 획기적 AI 연구 전념

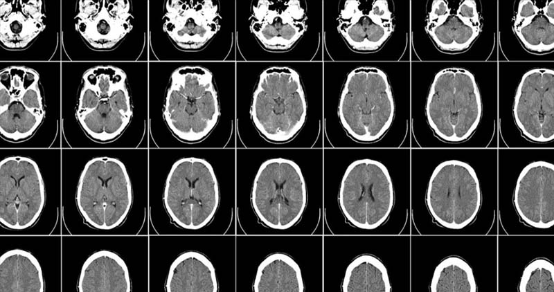
영국에 있는 킹스칼리지 런던(King’s College London)의 연구원들이 엔비디아의 캠브리지-1(Cambridge-1) 슈퍼컴퓨터 및 MONAI로 오픈소스 합성 뇌 이미지의 보고를 생성해 의료분야에서 AI를 가속화했다고 엔비디아(CEO 젠슨 황)가 공개했다.
킹스칼리지런던의 연구원 겸 런던 AI 센터(London AI Center)의 CTO인 호르헤 카르도소(Jorge Cardoso)는 의료 연구원에게 무료로 제공되는 10만 개의 합성 뇌 이미지를 만들고 있다. 이는 치매, 노화 또는 모든 종류의 뇌 질환에 대한 이해를 가속화할 수 있는 보물창고이다.
카르도소는 교사, CTO, 기업가, MONAI 오픈소스 컨소시엄의 창립 멤버이자 의료 영상용 AI 연구원이다. 의료 영상용 AI 연구원의 역할에서 카르도소와 그의 팀은 AI를 사용해 인간 두뇌의 사실적인 고해상도 3D 이미지를 만드는 방법을 발견했다.
카르도소는 “과거에는 많은 연구원들이 좋은 데이터를 충분히 얻을 수 없었기 때문에 의료분야에서 일하는 것을 기피했지만, 지금은 할 수 있다”며, “AI 연구의 에너지를 의료분야로 돌리고 싶다”고 말했다.
무료로 이용할 수 있는 뇌 이미지의 세계 최대 저장소에 비하면 큰 기부이다. UK 바이오뱅크(UK Biobank)는 현재 5만명 이상의 참가자로부터 얻은 여러 개의 뇌 이미지를 유지 관리하고 있으며 예상 비용은 1억 5,000만 달러이다.
이미지는 소비자 및 비즈니스 애플리케이션의 컴퓨터 비전에서 이미 널리 사용되는 합성 데이터의 의료분야에서 새롭게 부상하고 있는 지점을 나타낸다. 역설적이게도 이러한 필드는 수백만 개의 실제 이미지가 포함된 개방형 데이터 세트에도 액세스할 수 있다.
대조적으로 의료 이미지는 환자의 개인 정보를 보호해야 하는 필요성을 감안할 때 일반적으로 대형 병원과 연관된 연구원만 사용할 수 있어 상대적으로 부족하다. 그럼에도 불구하고 의료 이미지는 병원이 제공하는 인구 통계를 반영하는 경향이 있으며 반드시 더 많은 인구가 필요한 것은 아니다.
새로운 AI 접근 방식의 다행스러운 부분은 주문에 따라 이미지를 만들 수 있다는 것이다. 여성의 두뇌, 남성의 두뇌, 늙은 두뇌, 젊은 두뇌, 질병이 있거나 없는 두뇌 등 다양하며, 필요한 것을 연결하면 생성된다.
시뮬레이션 이미지이긴 하지만 이는 매우 유용하다. 주요 생물학적 특성을 보존하고 있어 실제 두뇌처럼 보이고 행동하기 때문이다.
이 작업은 슈퍼 소프트웨어를 실행하는 슈퍼컴퓨터가 필요했다.
의료분야의 획기적인 AI 연구에 전념하는 슈퍼컴퓨터인 엔비디아 캠브리지-1가 엔진이었다. 의료 영상을 위한 AI 프레임워크인 MONAI가 소프트웨어 연료를 제공했다. 이는 연구원들이 수백 가지의 실험을 실행하고 최고의 AI 모델을 선택하며, 이미지를 생성하기 위한 추론을 실행할 수 있도록 하는 합성 데이터용 AI 공장을 함께 만들었다.
카르도소는 “캠브리지-1과 MONAI가 없었다면 이 작업을 수행할 수 없었을 것”이라고 말했다.
엔비디아 DGX 슈퍼POD(SuperPOD)인 캠브리지-1에는 640개의 엔비디아 A100 텐서 코어 GPU(NVIDIA A100 Tensor Core GPU)가 포함돼 있으며, 각 GPU에는 1,600만 3D 픽셀로 구성된 팀의 방대한 이미지 중 하나 또는 두 개를 처리하기에 충분한 메모리가 있다.
MONAI의 빌딩 블록에는 도메인별 데이터 로더, 메트릭, GPU 가속 변환 및 최적화된 워크플로 엔진이 포함된다. 카르도소는 소프트웨어의 스마트 캐싱 및 다중 노드 확장은 작업을 최대 10배까지 가속화할 수 있다고 언급했다. 또한 그는 cuDNN과 “훨씬 더 빠르게 작업하는 데 도움이 된 전체 엔비디아 AI 소프트웨어 스택”을 높이 평가했다.
카르도소는 10만 개의 뇌 이미지를 호스팅하기 위해 국가 저장소인 헬스 데이터 영국 보건 데이터 연구소(Health Data Research UK)와 협력하고 있다. AI 모델도 활용 가능해 연구자는 필요한 모든 이미지를 만들 수 있다.
또한 이 팀은 MRI, CAT 또는 PET 스캔과 같은 모든 의료 영상 모드에서 모델이 인체 해부학의 모든 부분에 대한 3D 이미지를 만드는 방법을 탐구하고 있다.
카르도소는 “사실 이 기술은 모든 볼류메트릭(volumetric) 이미지에 적용할 수 있다”며 사용자가 다양한 유형의 이미지에 대해 모델을 최적화해야 할 수도 있다고 언급했다.
이 작업은 카르도소가 여러 마음의 컨텐츠를 꺼내는 것처럼 열정적으로 묘사한 여러 방향을 가리킨다.
합성 이미지는 연구자들이 시간이 지남에 따라 질병이 어떻게 진화하는지 보는 데 도움이 될 것이다. 한편, 그의 팀은 뇌 이외의 신체 부위에 이를 적용하는 방법과 어떤 종류의 합성 이미지(MRI, CAT, PET)가 가장 유용한지를 탐구하고 있다.
카르도소는 “조금 압도적일 수 있으며, 지금 생각할 수 있는 다양한 것들이 있다”고 말했다.










![[전문가기고] K-배터리 3사, ‘Beyond EV’ 시장을 향한 기술 초격차 전략 비교 [인터배터리 2026] [전문가기고] K-배터리 3사, ‘Beyond EV’ 시장을 향한 기술 초격차 전략 비교 [인터배터리 2026]](https://icnweb.kr/wp-content/uploads/2026/03/battery-P3-beyond-Battery-web-1024x576.png)
![[심층기획] 피지컬 AI의 심장 ‘이차전지’, 휴머노이드 로봇 혁명 이끈다 [인터배터리 2026] [심층기획] 피지컬 AI의 심장 ‘이차전지’, 휴머노이드 로봇 혁명 이끈다 [인터배터리 2026]](https://icnweb.kr/wp-content/uploads/2026/03/Battery-pack-interB-Phy-AI.png)









![[칼럼] 제조업 생존 가르는 EU CRA와 피지컬 AI 보안 전략 [칼럼] 제조업 생존 가르는 EU CRA와 피지컬 AI 보안 전략](https://icnweb.kr/wp-content/uploads/2026/03/CRA-2026-notebookLM-20260326-1024web.png)

![한국요꼬가와전기, 인터배터리 2026서 ‘배터리 자율 제조’ 비전 제시 [인터배터리 2026] 한국요꼬가와전기, 인터배터리 2026서 ‘배터리 자율 제조’ 비전 제시 [인터배터리 2026]](https://icnweb.kr/wp-content/uploads/2026/03/20260311_1604006789830108724224474-1024x576.jpg)



![[그래프] 국회의원 선거 결과 정당별 의석수 (19대-22대) 대한민국 국회의원 선거 결과(정당별 의석 수)](https://icnweb.kr/wp-content/uploads/2025/04/main-image-vote-flo-web-2-324x160.jpg)






